
Mission
The Department of Medical Imaging & Radiation Sciences (MIRS) exists to provide a comprehensive, multi-skilled education preparing students for entry-level practice into the medical imaging and radiation therapy professions. This mission is accomplished through collaborative education, research and scientific efforts with the health care community.
About
The Department of Medical Imaging and Radiation Sciences at Arkansas State University began in 1981 with the radiologic technology program. Since the establishment of the first program, the university has added six major emphases to the baccalaureate of science in radiologic sciences (BSRS) degree. Each program within the department maintains applicable JRCERT or CAAHEP programmatic accreditation and has established a reputation for quality education and clinical experiences in the imaging and radiation sciences.
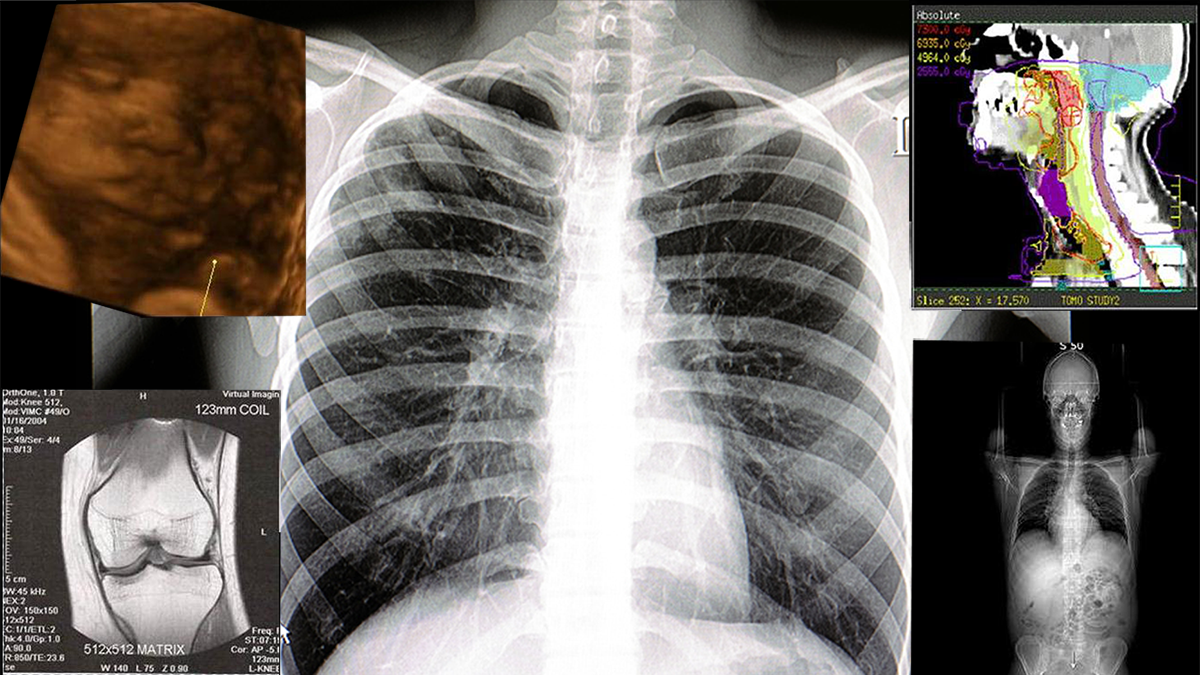
Radiography Program (BSRS)
The Bachelor of Science in Radiologic Sciences (BSRS) Program consists of Radiography foundation courses, followed by one of the 5 Specialty Tracks listed below.
Choose one of 5 Specialty Tracks
-
Cardiovascular-Interventional Technology
-
Diagnostic Medical Sonography
-
Magnetic Resonance Imaging / Computed Tomography
-
Mammography / Breast Sonography
-
Radiation Therapy
Bridge Program
-
Bridge Program
- [B.S.R.S. Imaging Specialist Degree] for Radiologic Technologists who currently possess an associate degree from an accredited program